23 Abril de 2026 10:53
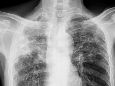
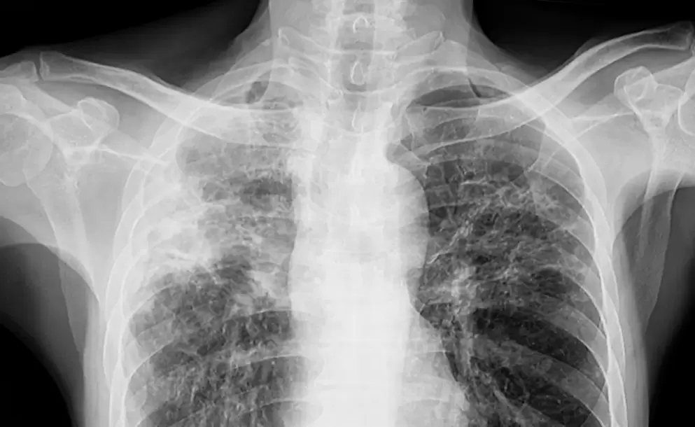
Un reciente caso de tuberculosis confirmado en un estudiante de sexto año de un colegio privado de Mar del Plata puso en alerta a la comunidad educativa. El diagnóstico fue realizado por el Programa Municipal de Control de Tuberculosis, dependiente de la Secretaría de Salud, lo que activó de inmediato los protocolos establecidos para contener posibles contagios.
El protocolo incluyó una serie de medidas preventivas y de control, coordinadas entre las autoridades sanitarias, el sistema educativo y las familias de los y las alumnas. Así las coas, primero se convocó a reuniones informativas con los directivos del establecimiento y con los padres y estudiantes, hubo charlas explicativas sobre la enfermedad, su transmisión y las formas de prevenirla. Pero aún más importante, se identificó a las personas que tuvieron contacto estrecho con el alumno afectado para iniciar estudios médicos y seguimiento en el Centro de Especialidades Médicas Ambulatorias (CEMA).

El trabajo conjunto entre el Programa Municipal de Control de Tuberculosis, la Región Sanitaria VIII, el Hospital Interzonal General de Agudos (HIGA), el Hospital Materno Infantil y el Instituto Nacional de Epidemiología (INE) busca garantizar el monitoreo continuo y la atención adecuada para quienes podrían haber estado expuestos al contagio.
Falta inversión en prevención
Este caso se produce en un contexto preocupante a nivel nacional. Según datos del Ministerio de Salud, los casos de tuberculosis aumentaron un 59% en los últimos cinco años, pasando de 10.896 casos en 2020 a 17.283 en 2025. Sin embargo, las cifras no parecen estar acompañadas por una respuesta presupuestaria adecuada.
Es que el programa específico para la prevención y control de la tuberculosis cuenta con un presupuesto anual de $3.214,84 millones, pero, según informes oficiales, hasta abril de 2026 no se había ejecutado un solo peso.

Pero no sólo eso sino que otros programas relacionados con la salud pública, como los destinados a la prevención del embarazo adolescente y la obesidad, también registran una preocupante inacción financiera. En el caso del control de enfermedades respiratorias, aunque se ejecutaron $16,5 millones, este monto supera ampliamente lo presupuestado inicialmente.

